Петросян Артак
Аршалуйсович
хирурга-имплантолога с 15-летним стажем работы – Петросяна Артака Аршалуйсовича.
щелчков и боли в височно-нижнечелюстном суставе?
Наша специализация
О компании
Стоматологическая поликлиника «Медлайн» – это важная часть экосистемы всего лечебно-диагностического центра «Медлайн-Премьер». В неё вложен не только профессионализм врачей-стоматологов, но и огромное желание специалистов помочь своим пациентам.
Поликлиника оснащена собственной современной зуботехнической лабораторией, компьютерным томографом, 3D сканером, операционным микроскопом, миографом, аппаратом TENS. Это позволяет вывести качество и комфорт стоматологического лечения на новый уровень.
В своей работе наши специалисты используют не только передовые технологии, современное оборудование, но и применяют при лечении бережный подход, чтобы пациенты были спокойны и уверены в конечном результате.

Нам важно:
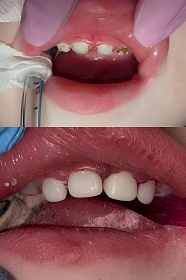
Портфолио
Смотреть все




есть вопросы?
Возможно, вы найдете ответы на часто задаваемые вопросы, которые задают наши клиенты
Только с 15 августа по 15 ноября
*Подробности уточняйте у администраторов стоматологической поликлиники «Медлайн»
контакты
